熱線:021-66110810,66110819
手機:13564362870

熱線:021-66110810,66110819
手機:13564362870
Bone microenvironment regulative hydrogels with ROS scavenging and prolonged oxygen-generating for enhancing bone repair
骨微環境調節水凝膠具有清除活性氧和延長產氧能力以增強骨修復
來源:Bioactive Materials
一、摘要核心內容
本研究開發了一種新型智能水凝膠(CPP-L/GelMA),通過整合過氧化氫酶(CAT)和ROS響應性釋氧納米顆粒(PFC@PLGA/PPS),實現以下功能:
ROS清除與智能供氧:在骨缺損缺氧微環境中,CAT降解過氧化氫(H?O?)生成氧氣,同時ROS觸發納米顆粒持續釋放氧氣(>14天)。
微環境調控:逆轉缺氧誘導的氧化應激,抑制破骨細胞分化,促進血管生成和成骨分化。
骨再生機制:通過激活BMAL1-自噬通路(Nrf2-BMAL1-autophagy pathway)顯著促進骨再生。
二、研究目的
解決缺氧問題:克服骨缺損區域因血供中斷導致的缺氧和ROS累積,抑制骨再生。
開發智能材料:設計可響應ROS水平、持續供氧的水凝膠,避免傳統材料氧氣爆發釋放的弊端。
驗證協同效應:探究氧療與ROS清除對血管生成、成骨分化和骨再生的協同促進作用。

三、研究思路
材料設計:
合成ROS響應性納米顆粒(PFC@PLGA/PPS),負載全氟化碳(PFC)作為氧載體。
將CAT與納米顆粒共封裝于脂質體(CPP-L),再整合至甲基丙烯酰化明膠(GelMA)水凝膠中。
體外驗證:
表征材料理化性質(SEM、力學測試、降解性)。
檢測氧釋放動力學(Unisense電極)和ROS清除能力。
評估對血管內皮細胞(HUVEC)、成骨細胞(MC3T3-E1)和破骨細胞(RAW264.7)的影響。
體內驗證:
建立小鼠顱骨缺損模型,植入水凝膠。
監測體內ROS水平(ROS Brite 700探針)、缺氧狀態(Hypoxyprobe)及血管生成(CD31染色)。
通過Micro-CT、組織學(H&E、TRAP染色)和免疫熒光分析骨再生效果。
四、測量數據及研究意義
氧釋放動力學(圖2F-G)
數據:CPP-L/GelMA在14天內持續釋氧(0.31 μM),顯著高于對照組(PFC@PLGA/PPS僅維持10天)。
意義:證實水凝膠可實現長效供氧,滿足骨修復的長期需求。

來源:圖2F(體外)、圖6F(體內)。
ROS清除能力(圖4B-C)

數據:CPP-L/GelMA使MC3T3-E1細胞內ROS水平降低50%(vs. 對照組)。
意義:緩解氧化應激,保護成骨細胞免受缺氧損傷。
來源:圖4B-C。
成骨分化(圖3J, 圖4I-K)

數據:
ALP活性提升138%(CPP-L/GelMA組 vs. 對照組)。
鈣結節形成量增加4倍(Alizarin Red染色)。
意義:持續供氧顯著增強成骨標志物(RUNX2、OCN)表達和礦化能力。
來源:圖3J(體外)、圖4I-K(體外)。
血管生成(圖7F-I)
數據:CPP-L/GelMA組血管密度為對照組的1.5倍(CD31?染色)。
意義:改善缺氧微環境促進內皮細胞遷移和管狀結構形成。
來源:圖7F-I(體內)。
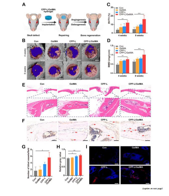
骨再生效果(圖7B-D)

數據:
骨體積分數(BV/TV)提升3倍(8周)。
骨礦物密度(BMD)增加30%。
意義:智能供氧協同ROS清除加速骨缺損修復。
來源:圖7B-D(Micro-CT)。
五、丹麥Unisense電極測量數據的研究意義
檢測目標:
溶解氧濃度:使用Unisense OX-NP氧傳感器實時監測水凝膠釋氧動力學(方法2.2.7)。
關鍵發現與意義:
精準量化釋氧性能:
CPP-L/GelMA在體外維持穩定氧濃度(0.31 μM)超過14天(圖2F),而傳統PFC@PLGA/PPS僅維持10天。
意義:為材料“長效供氧”特性提供直接證據,克服傳統材料爆發釋放的缺陷。
體內-體外相關性驗證:

體內實驗(圖6F)顯示植入后14天,水凝膠仍保留60%氧載體活性,與體外數據一致。
意義:證實材料在生理環境中的可靠性,支持其臨床轉化潛力。
技術優勢:
高時空分辨率:實時動態記錄局部氧分壓變化,避免終點檢測的偏差。
意義:為優化材料設計(如PFC濃度、納米顆粒包封率)提供精準參數。
六、結論
材料創新性:CPP-L/GelMA是首個集成ROS清除與智能供氧的骨修復水凝膠,可動態響應微環境變化。
核心機制:
持續供氧上調BMAL1表達,激活自噬通路(LC3-II/I↑),促進成骨分化。
ROS清除抑制破骨細胞形成(TRAP?細胞↓50%)。
治療價值:
在小鼠顱骨缺損模型中,新骨體積增加3倍,血管密度提升1.5倍。
為臨床大尺寸骨缺損修復提供新策略。
---
標題:Bone microenvironment regulative hydrogels with ROS scavenging and prolonged oxygen-generating for enhancing bone repair
來源:Bioactive Materials