熱線:021-66110810,66110819
手機:13564362870

熱線:021-66110810,66110819
手機:13564362870
Support of Nerve Conduction by Respiring Myelin Sheath: Role of Connexons
呼吸髓鞘支持神經傳導:連接子的作用
來源:Molecular Neurobiology, Volume 53, pages 2468–2479, (2016)
《分子神經生物學》,第53卷,第2468–2479頁,2016年
摘要
論文摘要闡述了髓鞘通過進行線粒體外的氧化磷酸化(OXPHOS)產生ATP,并假設ATP通過間隙連接(連接子)從髓鞘轉移到軸突,從而支持神經傳導。研究使用生化、免疫組化和電生理技術,證實了分離髓鞘(IM)中氧化磷酸化的功能性表達,并顯示連接子(如Cx32和Cx43)在髓鞘中存在且與髓鞘堿性蛋白(MBP)共定位。間隙連接阻斷劑(如carbenoxolone和oleamide)降低了純化髓鞘的氧化代謝,但不影響線粒體,同時降低了海馬Schaffer collateral的傳導速度。熒光染料實驗表明lucifer yellow可通過連接子從髓鞘轉移到軸漿,支持髓鞘與軸突間的連接。結論是髓鞘通過連接子轉移ATP,支持神經傳導,揭示了髓鞘的新功能。
研究目的
研究目的是評估髓鞘與軸突之間是否存在通過連接子的連接,并探討ATP如何從髓鞘轉移到軸漿,以驗證髓鞘在支持神經傳導中的營養角色。具體目標是確認連接子在髓鞘中的存在和功能,以及它們如何參與髓鞘的能量代謝和軸突的ATP供應。
研究思路
研究思路結合體外和體內實驗。使用分離的髓鞘(IM)和線粒體富集部分,通過Western blot(WB)和免疫組化檢測連接子(Cx32和Cx43)的表達和定位;通過氧消耗測量(使用丹麥Unisense電極)和ATP合成實驗評估髓鞘的氧化磷酸化活性;使用間隙連接阻斷劑(如carbenoxolone和oleamide)和線粒體抑制劑(如atractyloside)研究對代謝和傳導速度的影響;通過confocal和透射電鏡(TEM)成像及lucifer yellow滲透性實驗驗證連接子的功能;并通過電生理測量海馬Schaffer collateral的傳導速度,驗證在體效應。數據分析采用統計學方法(如ANOVA)。
測量的數據及研究意義
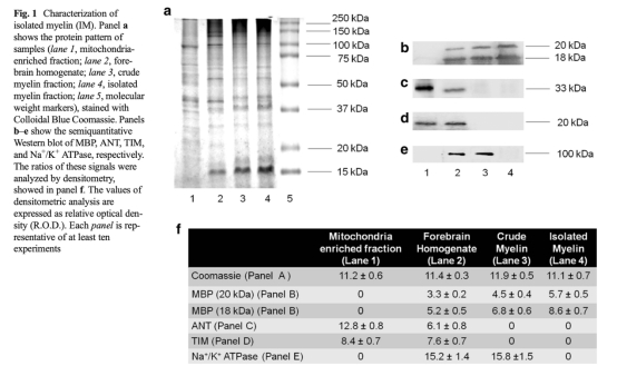
1. 髓鞘純度特征數據:來自圖1。Western blot顯示IM中MBP表達高,而線粒體標記物(ANT、TIM)和質膜標記物(Na+/K+ ATPase)缺失,證明IM無污染。研究意義:確保實驗材料純凈,排除線粒體或質膜污染,為髓鞘特異性功能研究提供可靠基礎。

2. 髓鞘氧化磷酸化蛋白表達和活性數據:來自圖2。WB顯示IM表達COX IV、ATP synthase β亞基、Cx32和Cx43;氧消耗和ATP合成實驗證實IM能進行OXPHOS。研究意義:證明髓鞘具有線粒體外OXPHOS能力,產生ATP,支持其能量供應角色。

3. 連接子對髓鞘氧消耗和ATP合成的影響數據:來自圖3和圖4。間隙連接阻斷劑(carbenoxolone和oleamide)抑制IM的氧消耗和ATP合成,但不影響線粒體;線粒體抑制劑atractyloside對IM無影響。研究意義:表明連接子參與髓鞘OXPHOS的底物運輸或ATP轉移,而非線粒體污染,揭示連接子在髓鞘能量代謝中的關鍵作用。


4. 連接子在髓鞘中的定位數據:來自圖5和圖6。Confocal和TEM顯示Cx32和Cx43與MBP在髓鞘中共定位。研究意義:形態學證實連接子存在于髓鞘,支持其可能形成連接髓鞘層間或與軸突的通道。


5. 間隙連接滲透性數據:來自圖7。lucifer yellow染料在髓鞘和軸漿中均出現信號,oleamide處理降低信號。研究意義:證明連接子允許小分子通過,連接髓鞘與軸突,為ATP轉移提供直接證據。

6. 電生理傳導速度數據:來自圖8。oleamide增加海馬Schaffer collateral的傳導潛伏期(降低速度),atractyloside無影響,creatine逆轉oleamide效應。研究意義:在體驗證髓鞘產生的ATP通過連接子支持軸突傳導,能量耗盡導致傳導減慢,強調髓鞘的營養支持作用。

結論
研究得出結論:髓鞘通過連接子(如Cx32和Cx43)將氧化磷酸化產生的ATP轉移到軸突,支持神經傳導速度。這一機制解釋了髓鞘的營養角色,并闡明了脫髓鞘疾病中軸突變性的可能原因,即ATP供應中斷。間隙連接是髓鞘-軸突能量轉移的關鍵通道。
使用丹麥Unisense電極測量數據的研究意義
使用丹麥Unisense電極(安培法氧電極)測量氧消耗數據的研究意義在于提供了高精度、實時的氧化代謝監測,驗證了髓鞘的線粒體外氧化磷酸化活性。電極在封閉腔體中測量氧分壓變化,直接量化髓鞘的呼吸速率,確保數據可靠。例如,圖2f顯示IM在NADH和琥珀酸刺激下耗氧,且被rotenone和antimycin A抑制,證明代謝特異性。這種測量排除了線粒體污染干擾,支持髓鞘自主產能的假設,為連接子功能研究提供了代謝基礎。Unisense電極的高靈敏度確保了小樣本(如純化髓鞘)的準確測量,增強了實驗的可重復性和機制可信度。