熱線:021-66110810,66110819
手機:13564362870

熱線:021-66110810,66110819
手機:13564362870
研究簡介:心肌缺血再灌注損傷常見于心臟血流恢復后,如在心臟病發作后的血液再通或心臟手術后。這種損傷會導致組織破壞,可能引起心力衰竭。損傷的一個主要原因是活性氧自由基(ROS)的過度產生,特別是在再灌注的最初幾分鐘內。ROS的產生觸發線粒體通透性過渡孔的開放,導致細胞死亡程序、微血管功能障礙和炎癥級聯反應。氫氣(H2)作為一種抗氧化劑,已經顯示出在預防和治療缺血再灌注引起的致命損傷方面具有巨大潛力。H2具有選擇性減少細胞毒性ROS的能力,同時不影響代謝氧化還原反應或破壞其他ROS參與的細胞信號傳導。H2能夠穿透生物膜,快速擴散到細胞質、線粒體和細胞核中,有效減少細胞毒性自由基。此外H2是一種對人類安全、無明顯副作用的氣體。盡管氫氣的治療效果已被廣泛證明,但將其應用于臨床治療仍面臨挑戰。主要問題包括H2在水、鹽水或血液中的溶解度低,導致其在血液和受損組織中的生物利用度較差。此外,H2的易燃性在制備含H2配方時造成了困難和安全隱患。因此開發新的、安全的H2傳遞系統以有效治療具有重要意義。微泡是小的充氣微球,通常用于超聲診斷中作為對比增強劑。MBs也是重要的藥物傳遞載體,可以在血液循環中穩定攜帶藥物,并具有多種治療應用。藥物可以加載到MB殼上、嵌入到殼矩陣中,或加載到內部空間中。MBs作為封裝治療性氣體的載體,為提高H2的生物利用度提供了新的可能性。本研究人員開發了一種超聲可視的H2傳遞系統,通過將H2裝載在微泡內(H2-MBs)來預防心肌缺血再灌注損傷。這種系統可以在常溫和常壓條件下大大提高單位體積中的H2濃度,并且H2-MBs可以在超聲成像系統中進行可視跟蹤,有效釋放其治療氣體。提供了一種新的方法來提高氫氣在生物醫學應用中的有效性,特別是在預防心肌缺血再灌注損傷方面。通過使用H2-MBs,研究人員能夠克服H2溶解度低和生物利用度差的問題,同時利用超聲成像技術實現對H2輸送的實時監控。
Unisense微電極研究系統的應用
使用Unisense氫氣微電極在體外(磷酸鹽緩沖鹽溶液)和體內(大鼠心臟)環境中測量了從微泡中釋放的H2的濃度。使用針式H2傳感器(Unisense)在磷酸鹽緩沖鹽溶液(PBS)和血液中測量H2釋放曲線。簡要地說,向5mL PBS中加入0.2 mL H2-MBs或對照MBs(載體)。然后通過將針式H2傳感器浸入MB懸浮液中并實時記錄數據來確定H2釋放曲線。對于體內H2釋放曲線,將針式H2傳感器插入五只健康大鼠的左心室(動脈血),并通過靜脈注射向大鼠注入2×1010 H2-MBs或對照MBs。然后連續記錄血液中H2的濃度。開發了一種新穎的、圖像引導的治療性H2輸送系統,簡單易用,由此產生的H2-MBs極大地提高了單位體積溶液中的H2溶解度。更重要的是,H2-MBs可以被視覺跟蹤,并用于保護心肌缺血再灌注損傷。研究為基于H2的治療應用的臨床轉化提供了潛在解決方案。
實驗結果
開發了一種新穎的、圖像引導的治療性H2輸送系統,簡單易用,由此產生的H2-MBs極大地提高了單位體積溶液中的H2溶解度。更重要的是,H2-MBs可以被視覺跟蹤,并用于保護心肌缺血再灌注損傷。研究為基于H2的治療應用的臨床轉化提供了潛在解決方案。
圖1、H2-MBs的制備和表征。(a)H2-MBs制備的示意圖。將由DSPC和DSPE-PEG2000(摩爾比=90:10)組成的15毫克磷脂混合物溶解在氯仿中。在形成膜和水合后,將含水分散液(脂質體)裝入4 mL瓶中(每瓶1 mL),并用八氟丙烷(C3F8)置換瓶中的空氣。隨后,顛倒瓶子,并用注射器注入一定量的H2。因此,瓶子中擠出相等體積的C3F8。震動45秒后獲得H2-MBs。(b)從上述方法中獲得的H2-MBs的代表性圖像(C3F8/H2比為1:1)。(c、d)體內外H2釋放的代表性時間曲線。在體外實驗中,將4×109 H2-MBs或對照MBs(載體)加入5 mL PBS中,并使用針式H2傳感器檢測來自MBs的H2釋放。在體內實驗中,將2×1010 H2-MBs或對照MBs靜脈注射到大鼠體內,并使用針式H2傳感器連續記錄血液中的H2濃度,該傳感器插入LV腔中(n=5)。箭頭表示添加H2-MBs或對照MBs的時間。
圖2、H2-MBs的超聲信號檢測。(a)H2-MBs分散在各種濃度(5×105、5×106、5×107、5×108和5×109/mL)的PBS中的超聲圖像。使用Vevo 2100超聲成像系統進行成像。(b)PBS中H2-MBs的超聲信號強度的定量分析。(c)大鼠心臟LV中H2-MBs在靜脈尾部注射H2-MBs前后的超聲圖像。使用Vevo 2100超聲成像系統進行成像(n=3)。上排,注射H2-MBs前;下排,注射H2-MBs后;左側面,B模式圖像;右側面,對比模式圖像;LV,左心室(點線循環)。(d)H2-MBs注射進入大鼠后300秒的時間-強度曲線。箭頭表示MB注射的時間。(e)大鼠心肌組織中H2-MB輸送的超聲圖像。使用Philips IE33超聲機進行成像。左側,注射H2-MBs前;右側,注射H2-MBs后;LV,左心室(紅色循環);IVS,心室間隔(藍色循環);RV,右心室(綠色循環)。箭頭表示靜脈注射H2-MBs后H2-MB輸送到大鼠心肌組織中的情況。(f)H2-MBs的超聲信號強度的定量分析。
圖3、H2-MBs預防心肌梗死。(a)給予對照微泡(左)或H2-MBs(右,高劑量)處理的大鼠經TTC染色的心肌連續切片的代表性圖像。被染色陽性(紅色)的組織代表活力心肌。未染色陽性(白色)的心肌代表梗死組織。(b)對于接受假手術處理的、接受車輛處理的或接受H2-MB處理的大鼠(低劑量,每只大鼠4×109氣泡;高劑量,每只大鼠2×1010氣泡)在LCA缺血30分鐘和再灌注24小時后的心肌梗死面積的定量測定。接受H2-MB處理的大鼠顯示出INF/LV顯著減少(n=7)。*P<0.05,**P<0.01。數據表示平均值±s.d。(c)對于接受假手術處理的、接受對照MB處理的或接受H2-MB處理的大鼠在LCA缺血30分鐘和再灌注3小時后的心肌梗死面積的定量測定;每只H2-MB處理的大鼠使用2×1010個H2-MBs。發現了類似的保護作用(n=5)。
圖4、H2-MBs減少不良的LV重塑。(a)接受假手術處理(假手術)、缺血再灌注對照微泡處理或缺血再灌注H2-MBs處理的大鼠的代表性M模式超聲心動圖像。對每組的M模式超聲圖像的測量是在缺血再灌注后48小時進行的。使用裝備有MS-250掃描頭探頭的Vevo 2100系統進行成像,掃描速度為1000 Hz,頻率為21 MHz。刻度條(垂直),4 mm。(b)基于超聲心動圖像,確定了LV尺寸,包括左室舒張末期直徑(LVEDD)和左室收縮末期直徑(LVESD)(n=5)。**P<0.01。數據表示平均值±s.d。(c)與對照組相比,H2-MB處理的大鼠的心臟收縮功能(FS%)和射血分數(EF%)顯著改善(n=5)。
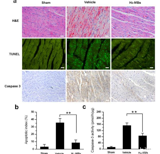
圖5、H2-MBs保護心肌結構并減少心肌細胞凋亡。(a)來自接受假手術處理、車輛處理或H2-MB處理的大鼠的心臟切片的組織學分析,這些大鼠經過30分鐘缺血和24小時再灌注;這些切片的H&E染色如圖所示(上排)。接受對照微泡MB的大鼠心臟在缺血區顯示明顯出血和壞死(上排,中間),但H2-MBs處理的大鼠的心肌損傷減輕了(上排,右側)。進行了TUNEL染色以檢測心肌細胞的凋亡(中排),發現接受車輛MB的大鼠中TUNEL陽性細胞的數量顯著增加(中排,中間)與接受假手術處理的大鼠相比(中排,左側)。接受H2-MBs的大鼠顯示TUNEL陽性細胞數量顯著減少(中排,右側)。進行了免疫組化染色以檢測caspase-3的表達(下排),發現接受對照微泡MB的大鼠心肌中的caspase-3表達相對較高(下排,中間)與接受假手術處理的大鼠相比(下排,左側)。接受H2-MBs的大鼠顯示caspase-3表達減少(下排,右側);刻度條=50μm。(b)通過計算五個高倍視野中TUNEL陽性核的百分比來繪制凋亡指數圖,顯示H2-MB處理的大鼠中TUNEL陽性核的數量顯著減少與車輛組相比(n=5)。
結論與展望
缺血再灌注誘導的心肌細胞死亡是全球發病率和死亡率的主要原因。氫氣(H2)作為一種抗氧化劑,已經顯示出在預防和治療缺血再灌注引起的致命損傷方面具有巨大潛力。然而由于H2在水中溶解度較低,在血液和受損組織中的生物利用度較差。研究者在研究過程中使用Unisense氫氣微電極在體外(磷酸鹽緩沖鹽溶液)和體內(大鼠心臟)環境中測量了從微泡中釋放的H2的濃度。這有助于了解H2-MBs(載氫微泡)釋放H2的動態過程和速率。通過監測H2的釋放情況,研究者能夠評估H2-MBs在模擬的生理條件下(如PBS)以及在活體動物中的性能。這對于驗證H2-MBs作為藥物傳遞系統的有效性至關重要。在這里研究人員開發了一種超聲可視的H2傳遞系統,通過將H2裝載在微泡內(H2-MBs)來防止心肌缺血再灌注損傷。使用該系統可以在常溫和常壓條件下大大提高單位體積中的H2濃度。H2-MBs可以在超聲成像系統中進行可視跟蹤,并能有效釋放其治療氣體。在缺血再灌注開始時在活體系統中輸注H2-MBs會導致明顯減小的梗死區大小和病理重塑。進一步分析表明,這種方法顯著抑制了心肌細胞凋亡,并減少了心肌缺血再灌注大鼠中的心肌炎癥和氧化損傷。這些結果表明,H2-MBs是一種有前途的H2基治療應用的可視傳遞系統。本研究提供了一種新的方法來提高氫氣在生物醫學應用中的有效性,特別是在預防心肌缺血再灌注損傷方面。通過使用H2-MBs,研究人員能夠克服H2溶解度低和生物利用度差的問題,同時利用超聲成像技術實現對H2輸送的實時監控。雖然Unisense微電極系統本身不提供成像功能,但它們測量的H2濃度數據可以用來驗證超聲成像觀察到的H2-MBs分布和行為,為本研究提供了一種精確、可靠的工具來測量和監測H2-MBs釋放的H2濃度,這對于評估這種新型藥物傳遞系統的性能和潛力至關重要。